World Press Photo 2015, la foto di Mads Nissen vince la 58 esima edizione:
una coppia gay in Russia
(*)(**)(***)(§)(§§)(°)
---
Il primo homecoming kiss tra due uomini della storia USA
---
Matrimoni gay, centinaia in piazza per il "Wedding day"(*)(**)
![]() |
| Napoli- |
(inoltre a Napoli)
Gay, Cassazione: "Divieto di nozze non è discriminazione. Ma serve legge sui diritti"
Unioni civili, ce lo chiede l'Europa ------>Matrimonio Egalitario!!!
Unioni Civili, Orfini (Pd): “Subito una legge, Ncd non ci fermerà” ----->Unioni Civili Egalitarie!!!
---
Matrimoni gay in Cina, il regalo di Alibaba per San Valentino
---
Prof universitario pestato in casa. È stato attivista dei diritti gay
Reggio Calabria, trans aggredita a calci e pugni
---
Russia, attore americano di una serie tv fa coming out
---
Usa: esercito approva la terapia ormonale per la "talpa" di Wikileaks' (*)
---
---
Alabama, il matrimonio gay è legale
---
Matrimonio gay: fra poco anche in Alabama
Caro Beppe, è di oggi la notizia che anche in Alabama le coppie omosessuali potranno registrare la loro unione in matrimonio. Anche uno Stato come quello, famoso nel mondo per la sua avversione alla modernità, ha abbracciato un principio liberale. Ormai, noi italiani, rappresentiamo un unicum nel mondo libero. Anzi, in questa materia, dimostriamo di essere i parenti più prossimi dei musulmani!! Il fronte del No, composto in gran parte di chi ha subito un forte condizionamento ideologico di tipo religioso, si oppone all’estensione dei diritti e dei doveri legati alla famiglia, credendo di difendere così proprio la famiglia. Chi, come il sottoscritto, riconosce laicamente che una solida base familiare veicoli benessere economico diretto ed indiretto per tutti è evidentemente ancora in minoranza. Sarebbe poi sufficiente porre una domanda banale a chi si oppone alle unioni gay: quali riscontri scientifici avete circa i danni prodotti dalle legislazioni liberali in tema di diritto di famiglia nelle nazioni dove sono state adottate (es. Svezia, Danimarca, Olanda, etc…)? Viceversa le nazioni che non le adottano ne stanno traendo un vantaggio (Siria, Iran, Libano, Italia, etc)? Ovviamente non si potrà avere una risposta laica e colta a queste domande perchè sarebbe un’ammissione di sconfitta. Non ho, però, dubbi che sia solo questione di tempo come lo è stato per altre conquiste liberali. Se alla mia nonna negli anni ’40 le avessero chiesto di divorzio ed aborto avrebbe risposto che mai sarebbero stati legali in un paese tanto condizionato dal suo retaggio religioso. In fondo in Alabama fino a 50 anni fa le persone di colore non potevano nemmeno entrare dentro un’aula universitaria, eppure la buona volontà di alcuni ha sconfitto le inclinazioni bovine di molti. Chiunque abbia la bontà di commentare questo mio umile intervento è pregato di farlo con argomentazioni tecniche ed empiriche lasciando da parte ogni pistolotto su valori e principiGuido Capucci, guido.capucci@gmail.com- QUI-
Coppie gay in Alabama: la storia è diversa
Caro Beppe, se me lo consenti vorrei rispondere a Guido Capucci con le argomentazioni empiriche giustamente richieste. Uno: l’Alabama NON ha abbracciato le nozze gay (“Matrimonio gay: fra poco anche in Alabama” – http://bit.ly/1KP48rd ). Tutto l’opposto. Col referendum Amendment 774 del 2006, l’81% votò per dire che il matrimonio è tra uomo e donna. Ora il giudice Callie Granade ha deciso il contrario. Non è un caso isolato: negli USA si sono tenuti 32 referendum in merito e sapete quante volte ha vinto il NO ai same-sex marriage? 30. Spesso poi arriva un giudice e rovescia il responso delle urne. Ciascuno faccia le sue valutazioni sul significato della parola democrazia. Due: riscontri scientifici sulle unioni gay. Per stare ai più recenti, Mark Regnerus 2012, Douglas W. Allen 2013, Paul Sullins 2015 ( http://ssrn.com/abstract=2500537 ). I bambini privati dell’esperienza di relazionarsi a un padre o una madre hanno tassi più alti di depressione e abbandono scolastico. Iniziano poi a emergere le testimonianze dirette dei figli ora adulti, es. Katy Faust e Robert Lopez: “Mi sentivo come un cane da portare a una mostra canina. Uno strumento politico. Sono stata educata per rendere costantemente omaggio all’identità gay di mia madre… i figli di coppie same-sex sono inibiti, se esprimono nostalgia del genitore assente sono riempiti di sensi di colpa”. Di contro, gli studi pro same-sex (es. Stacey e Birblarz 2001, Simon Crouch 2014) hanno abstract altisonanti, ma se ti prendi la briga di leggere i paragrafi in cui devono rendere conto della metodologia usata, sovente scopri il vecchio trucco del GIGO: garbage in, garbage out. Campioni non rappresentativi, scelti non casualmente bensì tra liste di attivisti Lgbt, misurazioni del benessere emotivo dei figli effettuate… semplicemente chiedendo ai genitori gay! Uno studio fatto così non è scienza oggettiva, è fuffa per disinformare. Ecco. Questi sono argomenti empirici. Prego astenersi da risposte “razzista fascista omofobo etc” che testimoniano solo ideologia. Grazie.Claudio Sammartino, claudio.sammartino.81@gmail.com-QUI-
Regnerus, proprio una garanzia- update QUI-
---Famiglie omogenitoriali, il conflitto inconcepibile
Perché non vogliamo adottare i nostri figli
---
"Gay e cattolico? Non è più un mio problema".
---Bimbo nato da utero in affitto: non è reato iscriverlo all'anagrafe
"Avrò un figlio da mio marito morto 4 anni fa, spero abbia i suoi occhi" (*)
La lettera di un bambino di 8 anni transgender: "Sono un maschio, ma ogni tanto la gente lo dimentica"
-
Milla, transgender, 9 anni
---
Doppio libretto agli studenti trans: Così cambiano le università
---
La fatica di Hana che alla fine sceglie. E torna femmina
---
Parigi, picchiato in strada l’artista
---Crolla libertà stampa- Italia 73^ - perde 24 posizioni rispetto al 2014
---Le foibe, 70 anni fa
![]() |
| Opera del pittore Roberto Tresin |
Respinto a Medicina a Milano, oggi a Oxford.
---Sanremo 2015:
1.
La famiglia numerosa e poi Tiziano Ferro. Ironia su Twitter: "Per par condicio, prima i cattolici poi i gay"
Il Festival dello Spirito Santo-
Un’altra genitorialità è possibile, ma questo passa ‘il convento’
2.
"E alla fine siamo anziani noi quando finalmente arriva sul palco Conchita Wurst, perché è indecorosamente tardi e siamo invecchiati. Carlo Conti l'ha tirata in lungo, per permettere a tutti i bambini della famiglia Anania di andare a dormire prima di poterla intravedere. E voi capite che ci è voluto il suo tempo."
Conchita Wurst: "Non importa come ti mostri, conta chi sei"(*)(**)(***)(°)(°°)
Luxuria contro Conti: perché ha chiamato Conchita Wurst Tom?
53,21% di share alle 00.10
la banale intervista finale
3.
Luca e Paolo a Sanremo 2015 celebrano il matrimonio gay. "Essere gay è ok". E chiudono col vaffa (sic!)
| video QUI |
---
Bologna: San Valentino in rossoblù, fidanzate (o fidanzati) allo stadio a 1 euro
---
Donna ha donato il suo rene a un perfetto sconosciuto. Adesso stanno per sposarsi
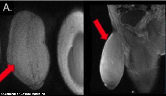
---Primo intervento di riduzione del pene del mondo eseguito in Florida.
---![]() |
| (*) |
---
David LaChapelle dirige Polunin: il balletto sulle note di Hozier è mozzafiato
---
![]() |
| Maud Chalard (*) |
---
(*)
---
![]() |
| (*) |
![]() |
| (*) |
![]() |
| (*) |
![]() |
| (*) |
![]() |
"Alice nel paese delle meraviglie" |
![]() |
| (*) |







































Nessun commento:
Posta un commento